Patient Before & After Smile Gallery

In the 41 Surrounding Areas

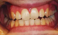
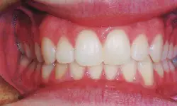
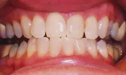
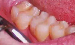
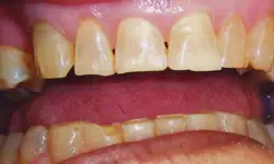
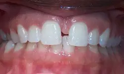
Before & After Gallery Featuring Results from Thousands of Oral Restoration Cases

Welcome to our gallery! Here, you can witness the impressive transformations achieved by Dr. Mike Musso, General Dentist, Dr. Mark Musso, General Dentist, and Dr. John Bounds, General Dentist, through their expert, personalized dental care. Our before-and-after images showcase the remarkable results of our high-quality treatments and their positive impact on our patients’ smiles. To learn more about our treatment options or to schedule a visit with our friendly team, serving Garland, TX, and the surrounding areas including Rockwall, Dallas, Lakewood, Rowlett, Richardson, Sachse, Wylie, Plano, Mesquite, and Highland Park, contact Musso Family Dentistry today at (972) 840-8477. We look forward to helping you achieve a stunning, confident smile!

Patient Before & After Gallery

Before & After Gallery Image Before and After Before and After Before and After Before and After Before and After Before and After Before and After Before and After Before and After Before and After Before and After Before and After Before and After Before and After Before and After Before and After Before and After Before and After Before and After
5 Stars Google Logo
5-Star Google Review

"Great dentist that both my spouse and myself trust. Appointments are quick and efficient with zero upselling—just honest care for what you actually need"

— Mark C.
Technology icon

State-Of-The-Art Dental Technologies

» Learn More
Calendar icon

Request An Appointment

» Learn More
FAMILY Dentistry
PREVENTATIVE
DENTAL SERVICES
Learn More »
Cosmetic Dentistry
COSMETIC
DENTAL SERVICES
Learn More »
Restorative Dentistry
RESTORATIVE
DENTAL SERVICES
Learn More »

Office Hours

Monday
7:30am - 4:30pm
Tuesday
7:30am - 4:30pm
Wednesday
7:30am - 4:30pm
Thursday
7:30am - 4:30pm

Quick Links

Request an Appointment » Patient Forms » Patient Portal » Privacy Policy »
© All Rights Reserved. Musso Family Dentistry 2026